Procurar
Apoie o DCM
ÚLTIMAS
POLÍTICA
BRASIL
MUNDO
MÍDIA
COMPORTAMENTO
CULTURA
ECONOMIA
Esporte
Especiais DCM
DCM TV
Apoie o DCM
Diário do Centro do Mundo
ÚLTIMAS
POLÍTICA
BRASIL
MUNDO
MÍDIA
COMPORTAMENTO
CULTURA
ECONOMIA
Esporte
Especiais DCM
DCM TV
Apoie o DCM
Archives
Casais que bebem juntos têm menos problemas, segundo pesquisa
Árbitro é xingado de “macaco” e tem carro coberto por bananas no Rio Grande do Sul
“Não somos lixo”, dizem garis em greve
Ucrânia está disposta a conversar com a Rússia, desde que tropas sejam retiradas
Juíza atuava em processos em que ela mesma aparecia como autora
Parlamento da Crimeia vota por adesão à Rússia e agrava crise na Ucrânia
Ingleses e americanos fazem implantes faciais para ter barba de hipster
Eduardo Paes chama garis que impedem colegas de trabalhar de “delinquentes e marginais”
Jornalista que estava desaparecido é encontrado morto no interior de São Paulo
Menor suspeito de arrombar trailer no Rio é espancado e amarrado a poste
Ex-embaixador americano diz que falta moral aos Estados Unidos para dar sermão à Rússia sobre Ucrânia
União Europeia propõe pacote de 11 bilhões de euros para a Ucrânia
Empregados receberão na França para trabalhar de bicicleta
Em meio a tensão na Ásia, China anuncia maior gasto militar em três anos
Para o papa, ninguém tem feito mais contra a pedofilia do que a Igreja Católica
Morre em São Paulo ex-presidente nacional do PSDB Sérgio Guerra
Rússia diz que não tem controle sobre grupos armados na Crimeia porque são de “autodefesa”
Consumo de cocaína no Brasil é quatro vezes superior à média mundial
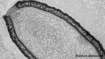
Vírus de 30 mil anos é descoberto e gera alerta sobre aquecimento global
Líder do PMDB ataca Rui Falcão e defende fim da aliança com o PT
1
...
9.582
9.583
9.584
...
9.750
Page 9.583 of 9.750
Privacidade e cookies: Este site utiliza cookies. Ao continuar a usar este site, você concorda com seu uso
Ok
Política de Privacidade