O que é neoplasia cervical, doença que tirou o principal narrador da Globo da Copa

Atualizado em 7 de abril de 2026 às 20:55
O narrador Luís Roberto, teve diagnóstico de neoplasia cervical, o que levou a ele se afastar da narração. O narrador já tem 28 anos de narração para a Globo. Foto: Divulgação/TV Globo

A neoplasia identificada na região cervical motivou o afastamento de Luís Roberto das transmissões da TV Globo e da cobertura da Copa do Mundo de 2026. O diagnóstico foi feito em exames de rotina, e o caso está em fase final de avaliação para definição do tratamento.

A condição envolve crescimento anormal de células no pescoço e pode atingir linfonodos e estruturas próximas. A lesão pode ser benigna ou maligna, o que exige exames adicionais para determinar a natureza do quadro.

A investigação inclui avaliação clínica, exames de imagem e análises laboratoriais. Com base nesses dados, a equipe médica define a extensão da alteração e a conduta mais adequada.

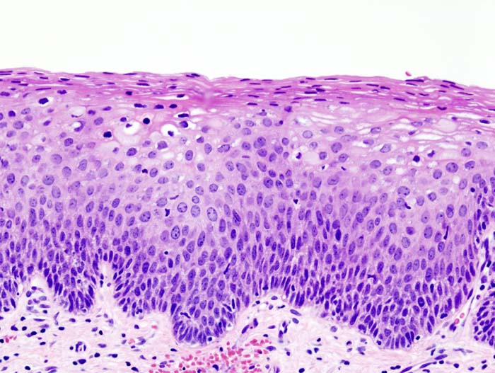
Imagem de microscópio mostra um dos tipos de neoplasia cervical, os pontos em roxo escuro são as células de crescimento anormal e que configuram essa condição. Foto: Reprodução/KGH

Segundo as informações divulgadas, o tratamento pode incluir cirurgia, radioterapia, quimioterapia ou acompanhamento clínico, conforme o resultado dos exames. Até o momento, não há detalhamento público sobre o tipo de neoplasia ou o protocolo a ser adotado.

Em nota, Luís Roberto afirmou: “Depois do susto, está tudo sob controle”. Ele também informou que o foco está no tratamento, enquanto permanece afastado das transmissões.

Estudante de Sociologia e Política na Fundação Escola de Sociologia e Política e estagiária pelo Diário do Centro do Mundo. Adoro ciclismo e estudos sobre mobilidade urbana e políticas públicas.